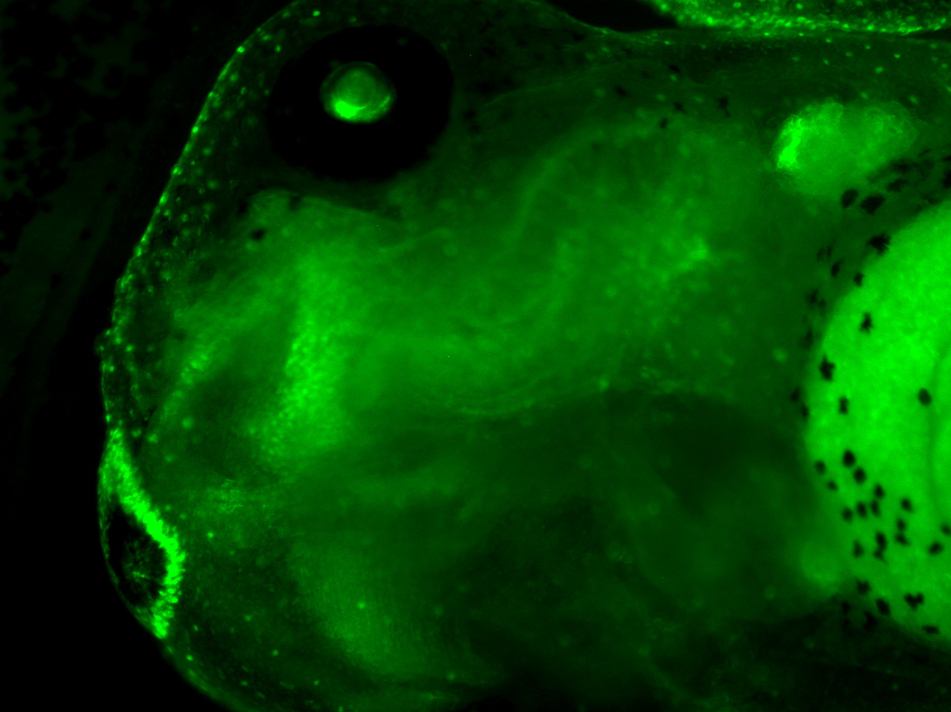
Line name: LBRS-Venus Xla.Tg(CMV:LBRS:Venus)Ueno
Synonyms: LBRS-Venus
EXRC line: #92
Non-standard MTA required: Yes
Transgene description: CMV-LBRS-Venus, consists of a cytomegalovirus (CMV) promoter, 1-238 amino acids of human lamin B receptor (LBRS) and Venus in pCS2p+ (REMI)
Phenotype: Venus expression in the nuclear envelope
Source lab: Ueno lab
Species: X. laevis
Colour morph: Pigmented
Line information can also be found in Xenbase.
















